我们非常重视您的个人隐私,当您访问我们的网站时,请同意使用的所有cookie。有关个人数据处理的更多信息可访问《隐私政策》

售前电话:400- 966- 9516 售后电话:0755-86111281

6000+人在线观看的中国医学病理装备学术会议,30+病理专家们都分享了啥?

分享:

公司资讯
  • 2021-11-26

  • 来源:必威官方首页官网betway

  • 浏览量:3023

11月20至21日,由必威官方首页官网betway鼎力冠名的中国病理装备分会第 6 届学术年会暨“匠心智造·创新突破︱必威官方首页官网betway病理技术专场”通过线上视频形式成功举办。会议现场,邀请了来自全国各地30多位病理专家分享前沿观点及一线经验;必威官方首页官网betway发布最新国产高品质石蜡切片机与冰冻切片机并受到了专家组一致好评;本次会议吸引了6000+病理人同时在线观看。

1-6000+病理人同时在线观看.png

01

30+位病理专家分享

助你云览前沿观点,收获一线经验

会议期间,来自江西省人民医院刘勇老师、北京协和医院陆俊良老师、南方医科大学深圳医院张进华老师、北京协和医院薛晓伟老师、武汉同济医院况东老师分别做了精彩的学术讲演。学术会议内容丰富,涵盖了高大上的二代测序到接地气的免疫组化及病染,大大地拓宽了与会人员的视野。

刘老师结合工作的具体实例,从理论到实践全面的阐述了免疫组化基本原理、注意事项、在诊断中的主要要点。

2-免疫组化对病理诊断的重要性.png 3-甲状腺.png

  • 免疫组化对病理诊断的重要性 江西省人民医院 刘勇

陆老师以NTS为切入点,从基础到整个流程、应用、注意事项全面的分析了高通量测序问题。

4-免疫组化对病理诊断的重要性.png 5-实现的基本思路.png

  • 高通量测序技术的原理与临床应用 北京协和医院  陆俊良

关于特染室间质的相关议题,张老师详细的阐述了测评如何组织,具体的测评技术又有哪些?

6-特染室间质控测评意义及常见问题解决.png 7-注意事项以及对策.png

  • 特染室间质控测评意义及常见问题解决  南方医科大学深圳医院 张进华

薛老师从实际的工作经验出发阐述了掌握组织学结构对技术人员重要性,特别是还从技术的角度分享连接诊断点滴的经验及体会。

8-发扬工匠精神凸显染色之美.png 9-如何彰显染色美.png

  • 发扬工匠精神凸显染色之美 北京协和医院 薛晓伟

况老师完整的叙述了PDL1的检测方法、如何染色、尤其是如何判读,特别是强调做好质控的意义 提高整体水平

10-实体肿瘤PD-L1免疫组化检测应用及其共识解读.png 11-完整的叙述了PDL1的检测方法.png

  • 实体肿瘤PD-L1免疫组化检测应用及其共识解读 武汉同济医院  况东

识别下方二维码

立即查看中国医学病理装备学术会议直播回放

12-直播回放二维码.png

02

重新定义国产高品质切片机

用技术助推切片质量与效率

让病理人选择更丰富

在病理技术专家分享会环节,必威官方首页官网betway发布了最新国产高品质切片机方案,该方案以轮转式切片机和冷冻切片机为主导,因其精准进样、智能恒温、高效操作、安全性高等优势,已获得全球300+客户高度认可。在2021贵州省冰冻切片比赛中,与进口品牌设备同台竞技,助力参赛选手夺得冠军。

13-国产高品质切片机.png

在会议直播期间,必威官方首页官网betway切片机因其优异的质量性能,受到了北京协和医院王德田老师、青岛医科大学附属医院赵洁老师、湘雅二院蒋诗荷老师、四川省肿瘤医院侯俊老师的高度认可与肯定。

王德田老师表示:“必威官方首页官网betway切出的片子比较漂亮、层次分明;从贵州切片比赛效果反馈中了解到必威官方首页官网betway的切片机开盖后连续操作温度不低于2摄氏度,恒温稳定;用必威官方首页官网betway切片机获奖人数远远多于使用进口设备人数;这说明国产切片机是过关的质量过硬的。”

赵洁老师认为:“必威官方首页官网betway的冰冻切片机可以切出一张完整的脂肪的切片,我们以前使用的其他切片机从来没有切出过,必威官方首页官网betway这个设备对乳腺病理或者带脂肪的组织等有很大的帮助;它从脂肪深度低温(-50℃)转化到常温(-20℃)只需要几分钟时间,不影响下一个冰冻切片的程序,这一点非常好。”

侯俊老师表示:“经过一年来全体科室同事对必威官方首页官网betway切片机的使用,得到大家的一致认可,能够满足我们工作的全部需求,在医疗器械国产化的今天,必威官方首页官网betway是进口替代的优质产品。”

蒋诗荷老师谈到:”今年7月份开始使用必威官方首页官网betway冰冻切片机,在制冷速度和成片效果上,能够满足我们的工作要求。“

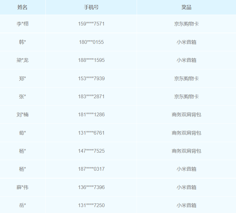
福利榜单

本次会议除了有让学员收获满满的病理大咖分享和见证国产高品质切片机外,直播还设置了抽奖环节。一起来看看,奖品是不是砸中你啦~

18-福利榜单.png

* 恭喜以上中奖的小伙伴,我们的工作人员会尽快把礼品寄送到您~


Baidu
map